前歯の古い修復物のやり直しが希望でした。
材質の経年劣化による変色と、不適合による二次う蝕(修復物と自身の歯のさかい目からのむし歯)によるダメージが確認できます。

この左側の一番前の歯が問題の歯です。これを下の写真のように削ります。歯の全周を均等な厚みになるように削ります。

このように歯の周りには糸を巻き付けてから型採りしています。これをやることで、歯肉と歯のすき間に型採る材料がキチンと入るため、適合がピッタリな修復物が作れるわけです。
さらにこの型採りの前に仮歯をきれいに調整して装着することによって、歯ぐきの形態もきれいにできるわけです。
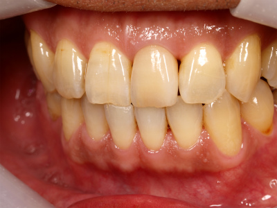
それによって完成した修復物がこれです。


このようにご自身のまわりの歯に溶け込むような自然感が望まれるのではないでしょうか?
歯の見た目が気になる方は、ぜひご相談くださいね。
セラミックなら名古屋市中川区の佐藤歯科医院





















