術前の状態です。

治しますと言ってすぐにすべてが改善するワケではありません・・・。丁寧に確実に行うための準備が必ず必要です。ここで、時間と費用をいただくために患者さんがたのご理解が必要になります。
保険診療の範囲内では、残念ながらじっくり手間ひまをかけるのに十分な時間を確保することに限界があります。ご了承ください。
術中まず仮歯に置き換えます。ある程度真ん中2本の形を修正した仮歯を作りました。

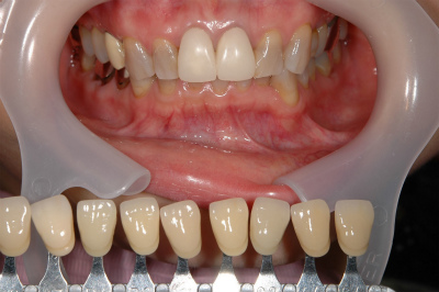
今回の予定では、上の前歯4本の改善です。真ん中2本はオールセラミック冠修復。その隣の歯2本はラミネートベニヤで修復予定です。ここで色合わせをします。形態と色の改善が目標ですが、ご本人のご希望で目立つほどの白さは嫌だとのことでしたので、もともと少し暗めの色ですので、若干明度を明るくして色と形を改善することにしました。

術後です。極端に白くなく、患者さんの持っていらっしゃる自然な感じで仕上がったと思います。

いろんな角度で見られた方がいいかなと思い、多角度の写真をアップしましたが、小さくなってみにくいですね・・・。スミマセン。大きい写真をアップし直しますのでしばらくお待ちくださいね。

これで見やすいでしょうか。
審美治療なら名古屋市中川区の佐藤歯科医院





















